Asphyxiation

Strangulation

 

In strangulation there is occlusion of the blood vessels in the neck secondary to external pressure.

3 types of strangulation:

Hanging

Ligature

Manual

Mechanism = Cerebral hypoxia secondary to obstruction of the vessels bringing oxygenated blood to the brain (carotid arteries)

Occlusion of airway usually does NOT occur, and is not the mechanism of death

Ocular petechiae is commonly seen in ligature and manual strangulations, but not with hangings

 

 

Introcular petechiae

 

Petechiae are believed to result from the rupture of venules and capillaries when the venous return from the head is obstructed, while the arterial blood flow to the head is maintained

 

Progressive Massive Fibrosis (PMF), is characterized by the development of large conglomerate masses of dense fibrosis (usually in the upper lung zones), and can complicate silicosis and coal worker's pneumoconiosis

 

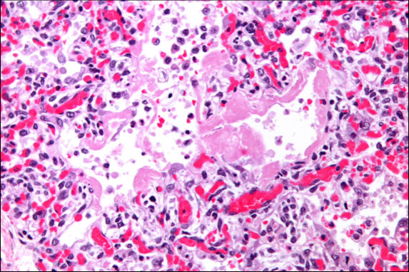
Diffuse Alveolar Damage

Hyaline Membrane in DAD

Emypema

 

Empyema is a collection of pus in the pleural space