CSF Cytology

Benign CSF

Adenocarcinoma

Astrocytoma

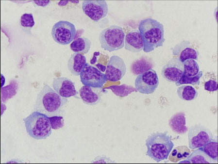
Plasma Cells

Cryptococcus neoformans

Benign CSF

 

Sample should be prepared immediately or can be refrigerated at 4C (should NOT be frozen)

- if preparation won't occur for >48 hrs, should add equal vol c 50% ethanol to preserve specimen

 

Should be nearly acellular, except for a small amt of lymphs and neutros, sometimes a few histiocytes and b9 lining cells are seen

- an inflam response has elevated neutros and lymphs

- blood can also be seen in a traumatic tap

- blood vessels, muscle, adipose, and fibrous tissue are considered contaminants

 

Plasma cells are an abnormal finding (see below)

 

Neutrophils assoc c acute bacterial meningitis, CMV radiculopathy, toxoplasma meningoencephalitis, and peripheral blood contamination

 

Eosinophils can be seen with coccidioides immitis infx

 

Subarachnoid hemorrhage can cause an increase in hemosiderin-laden macrophages

- may also see Germinal Matrix Cells, which can look like blasts or small blue cell tumors in the CSF

Benign germinal matrix cells in the CSF of a neonate [1]

Malignancy CSF

A fluid positive for malignancy usually is indicative of invasion of the leptomeninges or ventricular ependymal membrane

- primary tumors include meningioma, glioblastoma, ependymoma, choroid plexus papilloma, medullomastoma, sarcoma, and pineoloma

--- may see acute leukemia / lymphoma in CSF

 

Metastatic tumors usually from lung, breast, renal, GI, or melanoma

- usually produce diffuse meningeal carcinomatosis c abundant malignant and inflam cells

- background usually c protein deposits, blood and cellular debris

Adenocarcinoma in CSF

 

Most common types of metastatic adenoca to CSF:

Lung, Breast and Gastric

 

Cells often present singly or in small clusters

Nuclei are irregular, 3-D and eccentrically located

Nucleoli are often present

Cytoplasmic vacuolization may be present

 

 

Astrocytoma

 

Cells in small clusters c irregular nuclear atypia, high NC and coarse to hyperchromatic chromatin

 

 

 

 

 

 

 

 

 

 

 

Astrocytoma

Medulloblastoma

 

Can be confused with adenocarcinoma, usually in pediatric pts, can also look a little like small cell ca 2/2 nuclear molding

Medulloblastoma

Mollaret Meningitis

 

Rare form of aseptic meningitis c recurring attacks of fever, headache, and neck stiffness

- sx appear suddenly, last for 5-7 days and then resolve spontaneously but then recur again after several days to years

 

Some have been found to be caused by HSV 1 or 2

- reactivation of latent HSV explains the periodic and self-limited nature of the illness

 

Dx made clinically after excluding other causes of aseptic meningitis

 

Micro: cytologic findings are non-specific, but usually has marked predominance of monocytes

- Mollaret cells: monocytes c deep nuclear clefts that leave a footprint-like appearance in the nucleus, and are seen in the first 24 hours after sx onset

Mollaret cells

CSF Plasma cells???

 

Associated with: Multiple Sclerosis

 

Also associated with:

Viral meningitis

Lyme disease

TB

Cysticercosis

Syphilis

 

 

Cryptococcus neoformans

 

MCC CSF fungal infx

References:

 

1) Li W. Germinal matrix cells: mimicker of blasts or small blue cell tumors in cerebrospinal fluid. Cancer Arch 2019