Injury from Sharp Objects
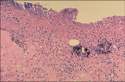
Histology of Point Blank Gun Shot Wound
Low power shows heat damage with focal dark pigmentation
Higher power shows translucent , non-refractile particulate foreign material consistent with gunpowder
Suicide - Toe pulls triggert
Slit wrist
An incised wound is defined as a wound produced by a sharp edged weapon, which is longer on the skin than it is deep
No bridging tissue present
Surrounding superficial cuts referred to as “hesitation marks”
Air embolism from stab wound
Patients with stab wounds to the neck or penetrating chest trauma are at high risk of traumatic air embolism
Positive pressure ventilation of the affected lung will cause rapid death if the condition is not immediately recognized