Neoplastic Dermatology

Dermatopathology Benign Tumors

Angiofibroma - see Soft Tissue

Keratoacanthoma

Bowen's disease

Clear cell acanthoma

Cylindroma

Dermatofibroma - see Soft Tissue

Bronchogenic cyst

Epidermoid cyst

Ganglion cyst - see Bone and Joint

Glomus tumor - see Soft Tissue

Hemangioma (Capillary hemangioma, Cavernous hemangioma, Pyogenic granuloma) - see Soft Tissue

Epithelioid hemangioma - see Blood Vessels

Kaposi sarcoma - see Vascular Path

Keloids and scars

Lymphomatoid papulosis (LyP)

Neurofibroma - see Nervous System Tumors

Piloleiomyoma

Sclerotic fibroma

Seborrheic keratosis

Spiradenoma

Traumatic neuroma

Trichoblastoma

  • (Cutaneous) Lymphadenoma

Trichodiscoma / fibrofolliculoma

Trichoepithelioma

  • Desmoplastic trichoepithelioma

Trichilemmoma

Trichilemmal (Pilar) cyst

Venous lake - see Vascular Path

Sebaceous adenoma

Melanocytic Lesions

Ephelis (freckle)

Albinism

Vitiligo

Melasma

Architecturally Disordered Nevus

Atypical Lentiginous Nevi

Becker nevus

Blue nevus

Congenital Melanocytic Nevi

Deep Penetrating Nevus (DPN)

Dysplastic Nevus

Halo nevus

Junctional nevus

Nevocellular nevus

Spitz nevus

Recurrent (persistent) nevus

Nevi of "special sites"

Atypical Genital Nevi

Melanoma In Situ on Sun-damaged Skin (Lentigo maligna)

Lentigo maligna melanoma

Melanoma (general)

  • Desmoplastic Melanoma
  • Lentiginous Melanoma
  • Nevoid Melanoma
  • Nodular Melanoma
  • Superficial Spreading (Pagetoid) Melanoma
  • Acral melanoma
  • Acral lentiginous melanoma
  • Spitz Melanoma and Spitzoid Melanoma
  • Metastatic Melanoma

Idiopathic Guttate Hypomelanosis (IGH)

Dermatopathology Cancers / Tumors

Actinic keratosis

Cutaneous metastasis

Adenoid cystic carcinoma

Atypical Fibroxanthoma (AFX) - see Soft Tissue

Dermatofibrosarcoma Protuberans (DFSP)

Neurofibroma

Pilomatrixoma

  • Malignant pilomatrixoma (pilomatrix carcinoma)

Eccrine Poroma

  • Malignant Eccrine Poroma (Porocarcinoma)

Basal cell carcinoma (BCC)

  • Morpheaform BCC

Squamous cell carcinoma

  • SCC  of Penis

Epithelioid histiocytoma

Epithelioid hemangioma

Granular cell tumor - see Soft Tissue

Merkel cell carcinoma

Mycosis fungoides - see Lymphoid neoplasms

Nerve sheath myxoma (Neurothekoma) - see Soft Tissue

(extramammary) Paget's disease

Post-Traumatic Melanocytic Proliferations

Proliferating scars

Syringoma

  • Syringomatous carcinoma

Microcystic adnexal carcinoma (MAC)

Endocrine mucin producing sweat gland carcinoma (EMPSGC)

Pleomorphic Dermal Sarcoma (PDS)

Dermatopathology Benign Tumors

Acrochordon

- aka skin tag

 

Small, soft, common, b9 pedunculated lesion usually found on obese pts that can be skin-colored or hyperpigmented esp in skin creases such as the groin or armpit; perianal skin tags assoc c Crohn dz

- rarely, can be assoc c Birt-Hogg-Dube, acromegaly, and PCOS

 

Micro: fibrovascular core with fat and unremarkable epidermis

 

Tx: excision

 

 

Acrochordon (skin tag)

Keratoacanthoma

 

Could be derived from infundibular part of hair follicle, or possibly a subtype of well-diff SCC

- 4/5 Males, usually on face, which grows quickly over about 2 months, then spontaneously regresses (slowly) over 6 months, leaving a depressed scar behind

Gryzbowski type - lots of eruptive lesions

 

Ferguson-Smith type - lots of ulcerating tumors with atypical distribution

 

Micro (phases):

Early - well circumscribed solid lobules of large pale sq cells c little keratinization; mild atypia and distorted follicular infundubuum

 

Stable - central keratin plug but no granular layer;

- also larger and more atypical squamous nests and islands c lots of lichenoid inflam and eos but no plasma cells; possible neutros microabscesses

 

Regressing (resolving) - keratin filled crater, mature epithelium without atypia; flattening cup-shaped dermis

- not as much inflam as previous stage

 

IHC:

- negative p53 (mostly, mostly)

 

Genes: distinct from SCC 2/2 studies on telomerase, p53 and COX2

 

Keratoacanthoma

Bowen's disease

 

- aka SCCIS

Slightly raised erythematous plaque c irreg borders believed to be preneoplastic, but not found on sun exposed areas

- aka erythroplasia of Queyrat if on genitals or in mouth

 

Micro: clonal atypical skin cells found throughout epidermis - a full thickness "wind-blown" appearance

- inc (atypical) mits, intercellular bridges, can go into sweat glands

- apoptotic skin cells in nests

 

IHC: (+) p53, HMWK (CK903), HPV

 

Genes: aneuploidy

 

Bowen's disease

Clear cell acanthoma

 

- aka Degos acanthoma

although initially described as neoplastic, now seen as a reactive dermatosis

- usually is a moist solitary firm red-brown well-circumscribed nodule up to 2 cm or a plaque on the lower extremities of middle-aged to elderly pts

- grossly has a crusted, scaly peripheral collarette and vascular puncta on the surface and is characterized by slow growth and persistance for many years

 

Micro: sharply demarcated (abrupt) border with psoriasiform epidermal hyperplasia c thin parakeratosis over lesion c enlarged keratinocytes and basal cells c pale-staining glycogen rich cytoplasm, mild spongiosis and scattered neuts (which can form small microabscesses)

 

 

Clear cell acanthoma

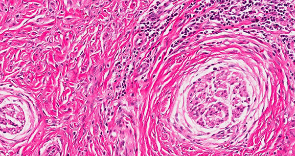
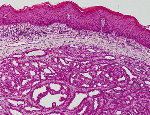
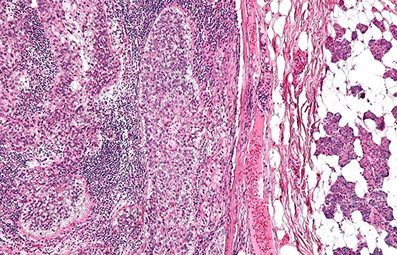
Cylindroma

 

- aka turban tumor

Kinda common b9 adnexal tumor of head/neck that appears as papules or nodules as a slow-growing and usually solitary tumor that is generally painless; etiology is unknown; F>>M

- may be assoc c AD Brooke-Spiegler syndrome if multiple in the dz's facial trichoepithelioma and eccrine poroma

 

Gross: looks like brain gyri

 

Gene: CYLD gene mutations cr 16q12-13

 

Micro: islands of basaloid cells in jigsaw pattern c scant cytoplasm surrounded by thick pink hyaline membrane and hyaline droplets bwt islands

- 2 types of epithelial cells peripheral cell (large basophilic nucleus which palisades); pilar cell (centrally located c vesicular chromatin pattern)

 

 

Tx: simple surgical excision can be curative

 

Px: excellent

- rarely can transform to a malignant lesion

Cylindroma

Cylindroma

Dermatofibroma

 

Slow-growing painless nodules in extremities of adults

- see Soft Tissue for more details

 

Histo: spindled cells in storiform pattern that can wrap around collagen bundles

 

IHC: (+) CD68, SMA, factor XIIIa

- neg CD34

 

Bronchogenic cyst

 

See Lung

 

 

Epidermoid Cyst

 

- aka Epidermal Inclusion Cyst

Connects through the surface usually with a little hole (punctum) which may have neutro infiltrate if ruptures

- lining looks like surface epithelium but without adnexal structures and can have rete ridge pattern in young cyst that flattens out as pressure increases within the cyst

- can have loose lamellar keratin within the cyst wall

 

 

Pilnidal Cyst

 

Hemangioma (Capillary hemangioma, Cavernous hemangioma, Pyogenic granuloma) - see Soft Tissue

 

Kaposi sarcoma - see Vascular Path

 

Keloids and scars

 

Scars have an east to west orientation of fibroblasts with a north-south orientation of vessels

- elastic tissue gets lost and epidermis is effaced

 

Keloids ave broad, pink "bubble gum" bands of collagen

- abnormal rxn to injury, esp occurs in black peoples' earlobes

- Long, wide eosinophilic collagenous bands w/ fibro- and myofibroblasts [(+)- vimentin, actin, nonmuscle myosin, fibronectin] in bwt.; located in dermis

-- also see telangiectasias (dilated vessels near skin surface)

 

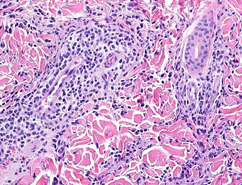
LyP type A

Lymphomatoid papulosis (LyP)

 

- a CD30-positive lymphophroliferative disorder

Rare, Indolent (self-healing) and chronic papulonodular skin dz c recurrent crops of pruritic papules at different stages of development that arises on the trunk and limbs; ~50 yo M, younger F

- histologically is a CD30+ proliferation of atypical T cells (is part of primary cutaneous CD30+ lymphoproliferatice disorders that includes Primary Cutaenous Anaplastic Large Cell Lymphoma [PC-ALCL] and borderline CD30+ lesions) - has many histologic mimics

- inc freq of prior, coexisting or subsequent lymphoproliferative disorders, usually mycosis fungoides or Hodgkin lymphoma

 

6 major subtypes:

Type A (MC, ~3/4): Hodgkin-like large atypical cells with intermixed mixed inflam infiltrates (neuts, lymphs, eos, histiocytes)

 

Type B: MF-like cerebriform cells c predominant epodermotrophic infiltrate

 

Type C: ALCL-like c large atypical cells and few other inflam cells (distinction from ALCL primarily clinical)

 

Type D: CD8+ cytotoxic T cell lymphoma-like c pagetoid infiltrate of epidermotrophic small to med-sized atypical CD8+ and CD30+ cells

 

Type E: Angiocentric infiltrates of small to med pleomorphic cells

 

Lyp with 6p23.3 rearrangement: Biphasic c small to med cerebriform cells and large atypical cells; usually seen in older adults

 

Micro: wedge-shaped infiltrate of T cells

 

IHC: (+) CD30 (CD30+ cells may be aberrant T cells) ,CD3 / 4

- neg ALK, CD8, CD56 (rare +)

 

DDx: Some immunoblasts, reactive T-cells, can be CD30+, scabies and arthropod bites can have a lot of CD30+ cells too

- Primary cutaneous anaplastic large cell lymphoma (PC-ALCL) can have lots of large ugly cells, the only way you would be able to differentiate is from IRF4 and the clinical history (if waxes and wanes, may consider LyP)

 

Dx: TCR rearrangement in 2/5 to 5/5 [1]

 

Px: excellent; although at inc risk secondary or nodal lymphoma such as MF, PC-ALCL and Hodkin lymphoma (up to 1/5)

- not known why there is spontaneous regression, but may be due to simultaneous expression of CD30 and CD95 (Fas) ligand

 

LyP - Scattered large cells with scattered smaller cells and neutrophils (mixed inflammatory background) wiht eos

LyP

LyP type C with diffuse sheets of CD30+ cells

Leukemia cutis

 

Usually reserved for AML or some other kind of nasty leukemia involving the skin, not for just some mature B-cell neoplasm involving the skin (would just say, eg,  CLL/SLL involving the skin)

- histiocytes and monocytes like to go to the skin, so things like AMML like to go to the skin, and tend to have a more histiocytic appearance and to stain with CD4

- since the cells are more monocytic in the skin, tend to stain less with the markers that they would stain with in the bone marrow, such as CD117

 

Micro: sheets of malignant cells with reticular dermal collagen intact

 

If you see this and the clinicians do not know that the patient has leukemia (in the blood) you need to get a PBS immediately and see what is going on in the blood

- it is rare to have leukemia cutis without seeing PB involvement

 

Ddx: there is a variant of Sweet's syndrome (histiocytoid Sweet's syndrome) with left-shifted myeloid cells that can look like leukemia cutis, which also stains with MPO and may look like leukemic blasts

- may include CD3 and CD20, as well as TdT to cover lymphoblastic neoplasms

- BPDCN can also look similar, so may want to include CD56

Leukemia cutis- cells going through collagen bundles because leukemic cells are dyscohesive versus other malignancies

Subtle case of leukemia cutis around hair follicles

Glomus tumor - see Soft Tissue

 

 

 

Piloleiomyoma

 

Multiple firm red-brown lesion in 3rd decade that are derived from arrector pili muscle and can be painful when exposed to cold

 

Reed's syndrome - AD fumarate hydratase gene mutation; may be related to papillary RCC or uterine leiomyomas if multiple

 

Micro: Pilo arrector muscle on roids c interlacing sm muscle and cigar-shaped nuclei and perinuclear vacuole

- circumscribed but non-encapsulated nodule

 

Piloleiomyoma

Sclerotic fibroma

 

May be clue for Cowden syndrome

 

"starry night" or "plywood" storiform pattern of collagen, hypocellular with bland nuclei

 

Sclerotic fibroma

Parakeratin in a horn pseudocyst in an inflamed sebk

irritated seb K

In an irritated Seborrheic keratosis melanin from trapped melanocytes can fall out of cells and get eaten up by very dark-appearing melanophages

Seb k, note the flat bottom

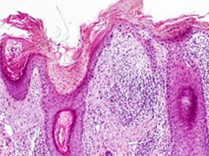
Seborrheic keratosis

Seborrheic keratosis

 

B9, common flat greasy pigmented "pasted on" lesion on trunk, head extremities on hair-bearing body parts of older pts ("senile warts")

- may clinically look like melanoma, or like SCC if irritated

 

Micro: has thickening of the epidermis with fat rete ridges that connect to each other filled with bland cells with pigment; cells usually have pigment in them, making them look dark grossly

- usually can draw a straight line at the bottom of the rete ridges (non-invasive, has flat bottom)

- horned pseudocysts ("pseudo" bc really connect to the surface) filled with loose orthokeratin (same kind as in the superficial epidermis) which connect to the surface, making them seem to grow like a lump from the skin

- if have keratin pearls (parakeratosis) may consider SCC, although can form pearls if inflamed

- if irritated can have inc mits

 

Dermatosis papulosa nigra = multiple lesions in younger black pts

 

Leser-Trelat sign = rapid growth of multiple seb k's; assoc c internal malignancy (GI or lymphoid)

 

Micro: Acanthoma c "shredded wheat" stratum corneum, epidermal acanthosis, papillomatosis, hyperkeratosis, horn pseudocysts

- flat uniform base without significant atypia

- variety of subtypes: acanthotic, hyperkeratotic, reticulated, clonal

 

Subtypes:

Acanthotic - MC variant, thick layer of basal cells c horn cysts and pseudohorn cysts [keratin grows downward into mass], lamellar hyperkeratosis, papillomatosis

 

Clonal - islands of bland uniform ("clones") skin cells in epidermis

 

Pigmented - has small pigmented skin cells

 

Irritated - sq metaplasia c spindly look and red cytoplasm and swirling sqamous cell eddies c atypia and mits, looks like ca

- look for horn cysts

 

Inflamed - spongiosis and lymphocytes

- can have lichenoid inflam and grow a crust

 

Hyperkeratotic - lamellar ("shredded wheat") keratin c papillomatosis (tall corneum layer ["church spires"])

 

Reticulated - net-like appearance of pigmented cells, (+) horn cysts

 

Genes: can produce extra BCL-2

- Fibroblast Growth Factor Receptor 3 (FGFR-3)

 

Tx: excision

 

Seborrheic keratosis with flat bottom and heavy lichenoid inflammation

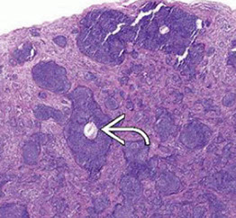
Spiradenoma

 

Usually presents as solitary, violaceous, gray-blue nodule that tends to arise on the ventral aspect of the head, neck, trunk, and sometimes extremities

- usually young adults (15-35 yo), can be painful

 

May be found in Brooke-Spiegler syndrome (cylindromas, spiradenomas, trichoepitheliomas)

 

Closely related to cylindroma (may occur as a hybrid tumor), those these are usually sporadic whereas cylindromas are multiple and inherited

- spiradenomas may present as a tender nodule

 

Micro: Large ball of dark blue cells (cannonballs) that are not attached to the epidermis tc interspersed black lymphs and paler cells in the middle of the ball c dark red droplets of hyaline

 

DDx: considered sometimes to be on a spectrum with cylindroma

 

Spiradenoma

Spiradenoma

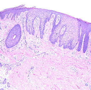
Nevus Sebaceus

- aka nevus sebaceus of Jadassohn or organoid nevus

 

Present at birth, found on the head, and neck/scalp

- rarely assoc c seizures, mental retardation or visual problems

- several adnexal and epithelial tumors known to grow within nevus sebaceus, such as BCC, Trichilemmoma, proliferating pilar tumor, syringocystadenoma papilliferum, trichoblastomas, and more

 

Gross: tan-brown, alopecia, rough surface; becomes verrucoid during puberty

 

Micro: acanthosis and papillomatosis, inc sebaceous glands, which are found abnormally high in the dermis

- hair follicles usually vellus rather than terminal, and are reduced in number

- dilated apoeccrine glands

 

Nevus sebaceus of Jadassohn

SCAP (darker blue at bottom middle) growing in background of nevus sebaceus

SCAP

SCAP

Syringocystadenoma Papilliferum (SCAP)

 

aka papillary syringadenoma

b9 sweat gland proliferation that arises in the middle of a nevus sebaceus

- warty tumor of scalp, neck, and face that can occur at any age

- clinically is a slow growing or recent change in a brithmark, may be crusty and start to bleed

- 1/3 have adjacent nevus sebaceus, 10% with adjacent BCC

- malignant counterpart is syringocystadenocarcinoma papilliferum

 

Micro: glandular papillary prolif connected to skin surface

- has ducts that look similar to sweat ducts sometimes, which are lined by cuboidal cells, that eventually empty to skin surface

- dense plasma cell infiltrate in the dermis, or in the middle of the papillary structures

 

 

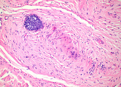
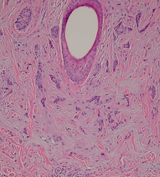
Traumatic neuroma

 

Prolif changes due to trauma or even burns or bites


Histo: well-defined but non-encapsulated mass of axons and Schwann cells in scar tissue next to a damaged nerve

 

Trichoblastoma

 

An adnexal tumor made of ribbons of basaloid cells with basaloid islands, clefts bwt collagen, concentric fibroblastic rich stroma with no retraction

 

Micro: cells can look a lot like BCC, but the stroma has concentric fibroblast-rich collagen

- papillary mesenchymal bodies can be in the stroma, but mucin will never be in stroma (mucin only within tumor islands)

 

Trichoblastoma

Lymphadenoma

- aka adamantinoid trichoblastoma

 

Variant of trichoblastoma with blue tumor islands that have up to 2 layers of peripheral basal cells

- center of the islands are pale due to clear cells and inflammatory cells (lymphocytes and histiocytes)

- fibroblast-rich stroma with no retraction

Tx/Px: B9, just needs F/U

 

Cutaneous lymphadenoma

Trichodiscoma / fibrofolliculoma

 

- Birt-Hogg-Dube syndrome may not be real bc acrochordons may just be on the spectrum of trichodiscoma / fibrofolliculoma (???)

 

Spectrum from fibrofolliculoma to trichodiscoma

 

Fibrofolliculoma: has cords or strands of epithelial cells, 2-4 cells thick radiating from follicular structures which may have keratin

 

Trichodiscoma: well-circumscribed but not encapsulated tumor;

- may have folliculosebaveous collarette resembling fibrofolliculoma

- fascicles of loose finely fibrillar CT c intervening mucous

Trichodiscoma in Birt-Hogg-Dube

Trichodiscoma

Trichoepithelioma

 

A type of trichoblastoma, also with basal cell appearance (basaloid cells c peripheral paslisading), concentric fibroblast-rich stroma, mucin only in tumor islands (not stroma), papillary mesenchymal bodies (PMB)

- multiple familial trichoepitheliomas (epithelioma adenoides cysticum) may have AD inheritance, CYLD (cylindromatosis) gene on cr 16q12-q13

- present as several small skin-colored papules in nasolabial folds

 

Brooke-Spiegler syndrome - numerous trichoepitheliomas and cylindromas

 

Rombo syndrome - trichoepitheliomas, milia, hypertrichosis, BCC, atrophoderma, vasodilation and cyanosis

 

Micro: May see horn cysts, calcifications, clefts bwt onion-skin collagen fibers in stroma

- finger-like projections with Swiss-cheese cribriform nodules

- stroma has the appearance of normal fibrous sheath of hair follicle (stroma is more cellular than in BCC)

 

IHC: (+) CD34 (in stroma), BCL-2 (at periphery of islands), CK20 Merkel cells (in tumor islands), BCC stains Ber-Ep4 diffusely

- PHLDA1 positive in BCC and not tricoeps

Trichoepithelioma

Desmoplastic trichoepithelioma

 

Presents as a firm donut on the cheeks of younger females with a central umbilicated nodule (dell)

 

Micro: tadpole-shaped islands (paisley-tie) c eosinophilic desmoplastic stroma

- calcifications and horn cysts common

- clefting only seen within stroma

- lymph aggs, apoptotic bodies and mits are rare

- no retraction space

- papillary mesenchymal bodies

 

IHC: scattered CK20+ Merkel cells

- not as many CK20+ cells as in Merkel cell carcinoma

 

Desmoplastic trichoepithelioma

Trichofolliculoma

 

One to several dilated follicles that have numerous radiating small follicles of varying degrees of maturity

- looks like mamma follicle is having baby follicles

 

small papule usually on the face of an adult

- a trichofolliculoma without hair is a fibrofolliculoma

Trichofolliculoma

Trichofolliculoma

Trichilemmoma

 

Small, solitary asx papular lesion seen almost always on the face

- arises from trichilemmal part of follicle (c clear glycogenated cells)

 

Micro: differentiate toward outer root sheath

- sharply circumscribed, c lobules extending to upper dermis and in continuity with the epidermis or follicular epithelium

 

Some think is a form of a wart involving a hair follicle, or maybe a b9 follicular tumor

Basically is warty surface with hair follicle bottom

Look like the glycogenated outer root sheath of normal hair follicle

- can form cutaneous horns, which can also be seen in warts, SCC, actinic keratosis

- assoc c Cowden syndrome (PTEN gene) if multiple, aka PTEN hamartoma tumor syndrome (visceral hamartomas, thyroid adenomas, ovarian cysts, subcutaneous lipomas and neuromas, GI polyps, carcinomas of the breast and thyroid)

 

Pale lobules made of clear glycogenated cells (glycogen washed  during processing) attached to epidermis c peripheral palisading and outlined by thick glassy red "vitreous" BM

 

DDx: SCC (must have atypia to dx SCC)

Trichilemmoma forming a cutaneous horn bottom part is large and pushing into dermis

Trichilemmoma - Papillomatosis with overlying parakeratosis and some     orthokeratosis (without nuclei); also seen in warts

Trichilemmoma - blood and serum in the keratosis (can also be seen in warts)

Trichilemmoma - base of lesion has palisading outside layer of cells next to clear glycogenated cells, like a hair follicle

Trichilemmal (pilar) cyst

 

2nd MCC epidermal cyst (after inclusion), mostly on scalp of women

- may have AD inheritance

 

Histo: lined by stratified squamous epithelium w/o inner granular layer and abrupt keratinization (like the trichilemma of the outer root sheath of a hair follicle)

- made of hard keratinaceous material that can have calcifications

 

Trichilemmal (pilar) cyst

Pilonidal Cyst

 

Skin infx that occurs bwt cheeks of buttocks, usually at the top of the crack, with pain, swelling, and redness, and can have drainage of fluid

- risk factors include obesity, fam hx, prolonged sitting, greater amts of hair, and not enough exercise

- believed to be a mechanical process

 

DDx: can resemble a dermoid cyst, or a sacrococcygeal teratoma

 

Tx: I&D

- may prevent recurrence by shaving the area

 

Pilonidal cyst

Inverted follicular keratosis

 

Centered on hair follicles

b9; can get reactive atypia and are usually transected on biopsy

- may tell clinician to keep an eye on it and rebiopsy if grows back, or to just re-excise if has enough atypia

 

Micro: keratinocytes making "squamous eddies" (also seen in irritated seb K)

- bottom of lesion is bulb-shaped and pushing into dermis

-- may get confused with squamous pearls of SCC, although here the squamous eddies are found in the middle of the lesion, and in SCC the squamous pearls are usually invasive into the dermis

 

Inverted follicular keratosis with squamous eddies

Inverted follicular keratosis centered on hair follicle, surrounded by squamous eddies

Tumor of the Follicular Infundibulum

 

Subepidermal tumor made of reticulared cords and nests of pale or pink glycogen-containing cells

- looks likes cells are falling off the epidermis

 

 

 

Tumor of the Follicular Infundibulum

Milia

 

aka mild spot or oil seed, is a clogging of the eccrine sweat gland, keratin-filled cyst that appears just under epidermis or on roof of mouth

- usually assoc c newborn babies, but can appear at any age

-- sometimes can be confused with STDs or stubborn whiteheads

 

Tx: usually disappear within a month in newborns, may be excised in adults

 

Milium

Proliferating Pilar Cyst

 

Micro: well-circumscribed mass of eosinophilic squamous epithelium that forms multiple small cystic structures that keratinize abruptly to dense eosinophilic trichilemmal keratin

 

DDx: SCC (lacks circumscription and has cytologic atypia)

- keratoacanthoma (made of eosinophilic epithelium, but also has crater-like architecture and is not as well-circumscribed)

- pilar sheath acantoma (proliferation of bland follicular epithelium that radiates from a central dilated follicular structure)

 

Image reference: http://ispub.com/IJD/4/2/7225

Proliferating Pilar Cyst

Trichoadenoma

Proliferating Pilar Tumor

Dermatopathology Cancers / Tumors

Actinic keratosis (AK)

 

UV-light induced

Premalignant lesion to SCC caused by sun exposure

- risk of carcinoma proportional to epithelial dysplasia

- small, rough, erythematous or brownish papules

 

Keratinocyte dysplasia caused by UV light exposure

- also see parakeratosis, basal keratinocyte atypia (enlarged and crowded), with parakeratosis and solar elastosis

- aka solar or senile keratosis, actinic cheilitis on lips

 

Variants:

Acantholytic - clefts c rounded cells, usually pigmented

 

Atrophic -skin only up to 4 layers deep

 

Bowenoid -atypia throughout the thickness

 

Hyperkeratotic -has cutaneous horns

 

Pigmented - looks like solar lentigo, not atypical but has downward projections

- increased pigmentation in basal layer, but no atypia or significant inc in melanocytes

 

Micro: basal cells and squamous atypia c hyper- and parakeratosis and disordered maturation; parakeratosis and solar elastosis heavy

- no granular layer (except at follicular orifices)

- cornified layer has pattern that alternates bwt compact orthokeratosis and normal orthokeratosis that overlies and spares the follicular infundibulum

- can be found c melanocytic atypia

- broad-based budding

 

Tx: excision, possibly topical chemo

 

 

AK - atrophic form

AK

Bowenoid AK

AK

Actinic keratosis - cutaneous horn

AK

Cutaneous Metastasis

 

MCC cutaneous mets are adenocarcinomatous deposits

- more specifically, from breast ca (23%; MCC in females), then lung (MCC in males) and colorectal

 

"Penny stacked up" look of breast ca mets from tumor cells lined up bwt collagen

 

MC site for skin to met to is the chest/abd, then head and neck

 

Adenoid cystic carcinoma

 

May be primary or met

- primaries are less aggressive than systemic types

 

Histo: tumor cell islands, possibly cribriform in fibrous / mucinous stroma, thick hyaline membranes

 

IHC: (+) HMWK / LMWK, S100, CEA

 

Px: Local recurrence in 50%

- likes to invade perineural spaces

 

Atypical Fibroxanthoma (AFX)

 

see Soft Tissue

 

weeee*** SLAM - spindly dermal lesions abutting epidermis ***

Spindled SCC, Leiomyosarcoma, AFX, Melanoma

 

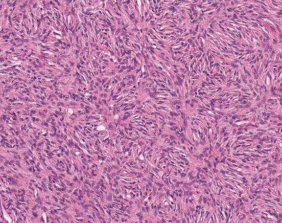
Dermatofibrosarcoma Protuberans (DFSP)

 

**it's Dat Fat Suckin Prick *** (neurofibromas and dermatofibromas can also have fat entrapment)

- aka intermediate (borderline) fibrous histiocytoma

Low to int grade slow-growing, locally aggressive cancer MC in trunk (never the hands/feet) of 3rd to 5th decade blacks

- may derive from nerve sheath tumor of dermal dendritic cells

- can progress to fibrosarcoma of MFH

- strong storiform pattern of monomorphic fibroblastoid cells that invade subcutis

- variants include pigmented DFSP (Bednar tumor), myxoid DFSP, DFSP with myoid differentiation, plaquelike DFSP, giant cell fibroblastoma and fibrosarcomatous DFSP

 

Gross: Nodular, polypod, plaqoid, avg 5 cm, gray-white; rarely bleeding or necrosis

 

Micro: uncircumscribed, hypercellular, prominent storiforming (can be absent early on in plaque phase) that infiltrated deep to subQ and entraps fat cells in honeycomb pattern

- cancer cells are monomorphic c little red cytoplasm and dark nuclei (like a neurofibroma) - translocation sarcomas look pretty monotonous

- can have lots of mits (which are not atypical)

 

IHC: (+) CD34, vimentin, actin, ApoD, bcl2, CD99

- negative Factor XIIIa, D2-40, keratin, EMA, S100, HMB45, desmin, CD117

- can lose CD34 with fibrosarcomatous transformation!

 

Genes: t(17,22)(q21;q13) collagen type 1 alpha 1 gene and PDGF-Beta chain gene (COL1A1 and PDGFRB) in nearly every case

 

Tx: exicision c underlying fat

- imatinib if inoperable or recurrent

 

Px: 10-15% have fibrosarcomatous transformation where the tumor exhibits high-grade morphology and loss of CD34 expression, while maintaining the signature COLIA1-PDGFB fusion gene

-- these fibrosarcomatous DFSPs have a similar local recurrence, but 13% develop distant mets

- the ddx of fibrosarcomatous transformation of DFSP is spindle cell melanoma and the rare cutaneous MPNST

DFSP

Pilomatrixoma

Pilomatrixoma

Trichohyaline granule (which are usually seen in hair shafts) in a pilomatrixoma

Pilomatrixoma

- aka calcifying epithelioma of Malherbe

 

solitary, bluish, firm (often calcifies), benign subepidermal spherical nodule

b9 hair follicle tumor

MC on face of kids or young adults

- 75% of childhood adnexal tumors

- can have multiple lesions in myotonic dystrophy

 

Sharply circumscribed cyst-like structure in dermis, possibly contiguous with hair follicle (may arise from hair matrix)

- can have inc mits (the malignant form is rare and usually very atypical)

- may have trichohyaline granules (which are usually seen in hair shafts)

 

3 cell types in fragmented cyst wall:

1) outer layer of blue (basophilic) basaloid martical cells with round nuclei and scant cytoplasm which dies and become dead keratin, which are the ghost cells

- imitate the cells in the root, or bulb of a normal hair follicle

 

2) mixed zone of eosinophilic cells c large round vesiculated nuclei

 

3) central zone sheets of keratinized pink "ghost" or "shadow" cells c distinct cell borders and central unstained nuclei

- difference from BCC: basaloid cells undergo abrupt keratinization and form "ghost" cells

 

Has foci of foreign body reaction, calcifications and ossification in shadow cell lobules

 

See melanin in shadow cells

 

Fibrotic stroma infiltrated with granulomatous inflam

 

Solid nests of basaloid cells may cause misdiagnosis of BCC

 

Ddx: Basal cell carcinoma c matrical differentiation (differs by continuity with epidermis and abrupt transition into shadow cells without the eosinophilic zone)

Malignant pilomatrixoma (pilomatrix carcinoma)

 

Has cytologic atypia, infiltrating borders, transitions to squamous cells, clear cells, mitosis and necrosis

 

- can have sarcomatoid features

 

Local recurrence common, and can metastasize

Eccrine poroma

Eccrine poroma

Eccrine Poroma

 

Friable papule/plaque MC on sole/scalp surrounded by indented moat (demarcation); resembles pyogenic granuloma clinically

- or is it found on extremities of middle aged adults??

 

Micro: monotonous cuboidal/basaloid "poroid" tumor cells in lower part of acanthotic dermis has a broad base that extends into dermis

- sharp demarcation (moat) between normal skin and tumor

- tumor cells may have cytoplasmic clearing due to glycogen accumulation; can also have melanin

- can see small sweat ducts in tumor (vs seb k)

 

Variations: 1) Hydroacanthoma simplex, 2) Syringofibroadenomatosis, 3) Sebocrine adenoma

 

1) Basaloid/clear cell clone prolif. w/ lumen of ducts entirely w/in epidermis (like Borst_Jadassohn intraepidermal epithelioma

 

2) Uncommon, reticular prolif of ducts in dermis that connects to surface ( like fibroepithelioma w/ sweat ducts); may be from Schoepf syndrome

 

3) Sebaceous + apocrine diff in poroma-ish lesion

 

IHC: EMA (highlights luminal component of the ducts)

 

DDx

 

1) Porocarcinoma (Malig eccrine poroma): rare, larger, more cytologic atypia/necrosis/ invasion; looks like SCC w/ sweat ducts

 

2) Nodular hidradenoma: looks a lot like eccrine poroma, but w/o the surface connection; but the "poroid cells" look identical

 

3) Seborrheic keratosis: the basaloid cells may look poroid; but you don't see any sweat ducts

 

Poroma

Malignant Eccrine Poroma (Porocarcinoma)

 

Tends to occur in the lower extremities, may occur as single or multiple (rare) skin lesions.  Can arise from eccrine poroma, which is seen in the malignant form next to the cancerous cells.  Can spread to dermis, but usually in dermis. 66% fatal due to mets. Name of the tumor has been used to refer to moderately differentiated adenocarcinoma. Invades through lymphatics.

 

Features:

- acanthosis in epidermis with tumor nests filled with cystic lumina

 

- asymmetric tumors

 

-cribriforming

 

-nuclear atypia with mitoses and necrosis

 

- spiraling ductular structures

 

- ducts lined by cuticular material

 

- zones of cytoplasmic glycogenation

 

- aggregated intraepidermal cells centered around acrosyringeal pores

 

-may resemble well-differentiated squamous cell ca.

 

-think mets with PAS-+ cuticle and ductular differentiation

 

- clonal ("intraepithelial epithelioma") pattern of acrosyringeal cells which may invade

 

-"pagetoid pattern" in mets

 

- &large lobules accompanied by prominent hyalinization and cyst formation with accumulation of amorphous eosinophilic material

Eccrine porocarcinoma

Acrospiroma

 

Dermal neoplasms, some believe related to or same as poroma)

- solid / cystic (nodular) hidradenoma, clear cell hidradenoma

- arise from seat gland distal excretory duct, usually solitary, on the scalp or axilla

- is a wastebasket term for these types of tumors

 

Gross: nodules c cystic foci high in dermis

 

Micro: nests or lobules of cells that look like an eccrine poroma c clear cytoplasm or distinct squamous metaplasia

- may show inc vascularity, and have lumens lined c coboidal ductal cells or columnar secretory cells

- cystic spaces may be 2/2 tumor cell degeneration

Acrospiroma

Hidradenoma

 

Uniform bland cells and ducts

Hidradenoma

Hidradenocarcinoma

 

rare, aggressive skin adnexal tumors of sweat gland origin that demonstrate a high potential for local recurrence, metastasis, and poor outcome

- no molecular markers for pathogenesis

 

http://www.archivesofpathology.org/doi/full/10.1043/1543-2165-134.5.781?code=coap-site

Hidradenocarcinoma

Pyogenic granuloma

 

Rapidly growing, sometimes painful, polypoid red mass that usually grows near fingernails or lips

 

Histo: Clusters / glomeruloid nests of vessels separated by hyphae that can look like hemangioma

- lacks atypia

 

IHC: mits can be prominent

Pyogenic granuloma

Nodular BCC with nesting, clefting and pallisading

Squamous differentiation in BCC

Superficial pattern BCC

Morpheaform / sclerosing / infiltrative BCC

Subtle, invasive BCC

Infiltrative BCC

Pigmented BCC

Adenoid BCC

Fibroepithelioma of Pinkus - just another for of BCC, should treat as such

Atypia in BCC- no need to worry

Granular cell variant of BCC

Clear cell variant of BCC

Amyloid in BCC - an normal finding, the pt has not systemic amyloidosis

Basal cell carcinoma (BCC)

 

NON-lethal skin cancer; locally invasive but almost never mets

- MC of ALL cancers

- MC in skin exposed areas of body

~ 90% bwt hairline and upper lip

~ 5% recurrence

- can look like dermatitis clinically or actinic keratosis

 

Rolled edges w central ulceration

- pearly papules w telangiectasias; palisading nuclei

~ form thymidine dimers due to sun exposure

 

3 criteria for dx: palisading, clefting and nesting

- myxoid change around edge of tumor, that can cause clefting artifact

- "Basal cells stroma" - changes with dilated vessels, lymphocytes and mucin around BCC

- irritated BCCs can get squamoid differentiation, probably do not need to mention unless is very diffuse

- infiltrating / sclerosing / morpheaform (all the same) may be more locally aggressive form of BCC, that may need to be more aggressively treated, can have perineural invasion if infiltrates really deep, and have higher rates of recurrence

- fibroepithelioma of Pinkus is probably just a form of BCC and should be treated as such

- can have areas of pleomorphism in BCC, if it merges into more normal looking BCC, probably do not need to worry or treat differently

- BCC can also blend into a part of the tumor that has large zones with fluffy granular cells that is called "granular cell variant of BCC" which usually transitions into areas of more normal looking BCC - can look like melanoma

- also can have clear ceell variant of BCC that should also transition into more normal looking BCC

- amyloid in BCC is probably just a breakdown product of degenerative keratin and does not mean that the pt has systemic amyloidosis (can be seen in other adnexal tumors

- may have stromal retraction around tumor

 

BCC can be pigmented and look like melanoma clinically

 

IHC: (+) CD34 (may be negative), BCL-2 (strong and diffuse)

- negative CK20+ Merkel cells (negative at least in tumor islands)

 

Tx: Moh's micrographic surgery

- if BCC is superficial pattern, dermatologist may choose to treat with topical agents

 

 

Morpheaform / Sclerosing / Infiltrative BCC

 

Present as scar-like lesions in older patients that expand and have ill-defined borders

- infiltrating / sclerosing / morpheaform (all the same) may be more locally aggressive form of BCC, that may need to be more aggressively treated, can have perineural invasion if infiltrates really deep, and have higher rates of recurrence

 

Micro: Thin tadpole-like (paisley tie) blue islands infiltrating sclerotic  red stroma

- can have horn cysts (rare), but no ducts (clefts can be seen bwt epithliums and stroma)

- invasive islands can look like tadpoles (similar to MAC, see below)

- little to no mucin in stroma

- retraction space is often absent

 

Should make note on the report that it is this type of tumor because may be missed and recur during Mohs surgery

 

Squamous cell carcinoma

 

Very common; assoc w sun exposure on extremities

- usually appear on hands and face as ulcerative red lesions

~ assoc w chronic draining sinuses

 

Histo: can be crater or volcano or cupped shaped and filled with keratin, may be mistaken for a cyst

- keratin "squamous pearls", usually parakeratosis (with nuclei [vs orthokeratosis]) means that since nuclei retained it may be growing quickly

- glassy keratinocytes with lots of bright pink cytoplasm that push down to sun damaged skin

- be suspicious when you have a proliferation of keratinocytes with glassy cytoplasm in sun damaged skin

- the nuclei may not look very atypical toward the surface, so be careful if the biopsy is superficial

 

Locally invasive but usually no mets

- LNs are the MC site of mets for cutaneous SCC, and all pts c invasive cutaneous SCC should undergo regional LN palpation at the time of fx and during post-tx follow up (which can get FNA'd of excised if found to be larger than normal)

 

Actinic keratosis is a precursor lesion

 

 

 

 

 

 

 

 

 

 

 

SCC - kinda looks like a crater or volcano filled with keratin; do not mistake it for a cyst

Squamous pearl

More atypical cells towards the base of the SCC invading into the dermis

SCC of Penis

 

More common in 3rd world countries (>10%) carcinomas

- less common if circumcised at birth

- smegma as a cause?

- psoriatic pts tx'd w/UV inc risk 5x

- probable assoc w/ HPV

 

Glans > prepuce > coronal sulcus

 

Growth patterns: superficial, exophytic (fungating, verruciform), endophytic (infiltrating, ulcerating, vertical)

- micro types: usual, warty (condylomatous), verrucous , papillary

-- verrucous: Grade 1; extremely well differentiated throughout; 5% of all penis cancers; broad, bulbous expansions and lacks invasion

 

Penis cancer likes to spread; 15% nodal mets

- less common in exophytic types; more in endophytic

 

Recurrence rare if margins negative on resection

Stage most important prog. factor

- 77/71% 5/10 year prognosis, rahspect

- Probably will not be cured if 2+ nodes positive

 

 

Sarcomatoid (Spindle Cell) SCC

 

IHC: (+) vimentin

- pitfall, can be SMA (+)

 

*** SLAM - spindly dermal lesions abutting epidermis ***

Spindled SCC, Leiomyosarcoma, AFX, Melanoma

 

Epithelioid histiocytoma

 

Micro: sheets of polygonal cells that efface the dermis c nucleoli and mits

 

IHC: (+) CD163

- negative S100

 

Epithelioid hemangioma

- see Blood Vessels

- aka angiolymphoid hyperplasia with eosinophilia

 

MC in head/neck of 20-30 yo's

 

Histo: ill-defined lobulated intradermal lesion with lots of vessels surrounded by large endothelial cells

- not a lot of pleomorphism

- lots of inflam c lymphs, +eos and macros

 

 

Granular cell tumor

- see also Soft Tissue

Usually present on tongue but may appear anywhere, derived from Schwann cells

- cytoplasmic granules are phagolysosomes

 

Micro: Sheets of monomorphic large polygonal cells c lots of red granular cytoplasm and central nucleus

- pustulo-ovoid bodies of Milan - round red giant lysosomal granules

- caveat: may think of SCC 2/2 upper PEH

 

IHC: (+) S-100

 

Px: larger tumors usually do worse

- cannot predict behavior based on bland morphology

Merkel cell carcinoma

MCC

Merkel cell carcinoma (MCC)

- aka primary NE carcinoma of skin, trabecular carcinoma

 

Uncommon, aggressive cutaneous tumor that usually present on the head and neck of elderly pts in areas of sun damaged skin

- clinically are painless dermal nodules that are erythematous or violaceous (delayed dx since no sx)

- 80% of MCC are assoc c Merkel cell polyomavirus (MCPyV)

 

*** DDx for small round blue cell tumors in skin: blue LEMONS *** Lymphoma, Ewings sarcina, Merkel cell ca / melanoma, Oat cell ca of lung, Neuroblastoma, Small cell endrocrine carcinoma***

 

Micro: small round blue cells close together c little cytoplasm c molding, apoptotic cells and mits

- can have intraepidermal growth similar to melanoma

 

IHC: (+) synapto, chromogranin, NSE, CK20 (in dot-like perinuclear pattern), Neurofilament (8/8), AE1/AE3, Cam5.2, Merkel-cell polyomavirus

- neg: TTF-1

 

EM: membrane-bound dense core granules

 

Px: Worse if p63+; commonly recurs and mets, assoc c high mortality

 

More merkel cell ca

Mycosis fungoides - see Lymphoid neoplasms

 

MCC cutaneous T-cell lymphoma; MC in adult males

 

Histo: lichenoid rxn common; can see lymphocytic atypia

- Pautrier microabscesses: small intraepidermal lymphoid aggregates

 

IHC: (+) CD2,3,4

 

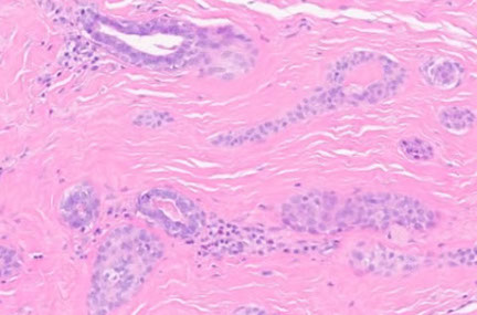
(Extramammary) Paget's disease

 

If found around breast can be 2/2 intraductal carcinoma, but if outside of breast MCC is de novo from pluripotent mammary glands along milk lines but may be an extension of an adenocarcinoma

 

Histo: pagetoid spread of neoplastic glandular elements in epidermis or mucosa

- rarely c underlying dermal involvement

- Intraepidermal prolif of large cells c lots of amphophilic cytoplasm, tumor cells c buckshot intraepidermal nests, crushed basal layer, atypical cells can spit out into corneum intact

 

IHC: (+) CK7, EMA, CEA, PAS (diastase resistant)

- negative S100, CK20

 

Extramammary Paget's disease

Post-traumatic Melanocytic Hyperplasia

 

Melanocytic hyperplasia is common around scars, in which melanocytes have clear cytoplasm and small dark nuclei but no atypia and don't really have lentiginous growth

- cytoplasmic processes usually well maintained in melanin stains

 

Proliferating Scars

 

Can look like desmoplastic malignant melanoma

- though this appears in site of previous injury (vs DMM [found on sun-exposed areas of head and neck in elderly])

Micro: bland fibroblasts that are aligned parallel to skin, lots of vessels

Syringoma

 

Present as small round nodules on the lower eyelids (usually)

- commonly assoc c Downs syndrome and Asian women

- probably derived from sweat gland ridge

- clear cell syringoma is assoc c DIABETES

 

Micro

Small tadpole-shaped (paisley-tie pattern) ducts c lots of pink cytoplasm in a densely sclerotic eosinophilic stroma

- tumor cells small and round

-may see some clear cells

- no infiltration, atypia, mits or local destruction

 

Eruptive syringoma

Found on chest / back / penis in young men and women, technically not neoplastic, is a reactive lesion of eccrine glands

- found on skin type VI (???)

Syringoma

Chondroid syringoma

- aka mixed tumor of the skin (?)

Morphologically identical to PA of salivary gland

Micro: exhibits structures such as glands/ducts, cysts, keratinous cysts, and foci of squamous differentiation, with a myxoid stroma typically having cartilagenous metaplasia

- inner luminal epithelial cells lack expression of ME markers

 

IHC: myoepithelial cells can co-express S100 and CK

 

DDx: MAC (syringoma has more eosinophilic stroma)

Chondroid syringoma

Chondroid syringoma

Syringomatous carcinoma

 

Islands in a desmoplastic stroma with keratinizing cystic structures and tubules

- diffusely infiltrates dermis

MAC

Microcystic adnexal carcinoma (MAC)

 

Present as plaques on upper lip, cheek or chin

 

* Distinguishing MAC from others (bcc morpheaform, desmoplastic trichoepithelioma, squamoid eccrine ductal ca, syringoma) requirest deep biopsy so the important features of MAC (deep tissue invasion and PNI) can be identified (from CAP VBP)

 

Biphasic c hairs and sweat ducts, also with the infiltrative tadpole glands, sclerotic stroma that can extend all the way to sk muscle

- poorly circumscribed

- perineural invasion common

- rarely have calcifications

- lymph aggs are common

- there is not much atypia

- look for perineural invasion to dx MAC (will not see in discoid trichoepithelioma)

 

Very similar in appearance to syringoma, desmoplastic trichepithelioma, eruptive syringomas, and morpheaform BCC, differential diagnosis is usually aided by clinical appearance

 

IHC: (+) CEA and EMA in ductal lumina

 

Px: locally aggresive, but indolent

 

DDx: disoid trichoepithelioma (cannot differentiate unless can see the wholes lesion, MAC can have perineural invasion which is not seen in discoid trichoepithelioma), BCC

The basic histologic pattern of MAC: variably sized ducts, nests, and cords of basaloid cells with clear-to-eosinophilic cytoplasm. The cellular differentiation of the outer root sheath of the hair follicular (trichilemmal) and many of the nests appear to recapitulate the structure of a primitive hair follicle

At least focal ductal differentiation required to dx MAC

Sebaceoma

- aka sebaeous epithlioma

 

More asymmetric and disorganized than sebaceous adenoma, but still well circumscribed

- +/- epidermal connection

- >50% basaloid cells (vs sebaceous adenoma [below])

- no atypia, but can have inc mits

 

DDx: BCC are positive for Ber-Ep4 but neg for EMA

- sebaceous tumors are strongly pos for D2-40 and EMA
- EMA stains mature sebocytes

- CK7 pos in basaloid cells

- oil red O (intracytoplasmic lipid contect)

- adipophilin - new protein

 

Sebaceoma

Sebaceous adenoma

 

Solitary or multiple, skin-colored, tan-yellow nodules, usually < 1 cm

- usually on the head and neck of older pts typically

- multiple lesions in younger pts (<50 yo) at extrafacial sites may be indicator of Muir-Torre syndrome (form of Lynch syndrome, AD, mutations in one of the DNA mismatch repair genes MLH1, MSH2, and MSH6, multiple sebaceous neoplasms and visceral neoplasms, unusually GI ca or keratoacanthomas of the skin)

 

the spectrum of sebaceous neoplasms includes 4 entities:

(b9) Sebaceous hyperplasia --> sebaceous adenoma --> sebaceoma ---> sebaceous carcinoma

 

>50% sebocytes; <50 basal cells (blue cells)

- b9, lobular growth (round base)

- non-infiltrating

- often eroded / ulcerated

 

Micro: Multilobular, several contiguous lobules c direct connection to epidermis / follicles

- central mature sebocytes dominate but there's an inc in peripheral basal cells (<50% basaloid cells)

- no cytologic atypia or abnormal mits

 

Cystic sebaceous adenomas are esp assoc c Muir-Torre syndrome

Sebaeous adenoma

Sebaceous adenoma

Sebaceous carcinoma

Sebaeous carcinoma

 

MC in eyelid (75%)

- meibomian gland MC (than Zeis)

- Upper eyelid > lower eyelid

- extraosseous seaceous CA (25%) worse px than ocular sebaceous ca

- less pagetoid spread

-rarely assoc c Muir-Torre syndrome, nevus sebaceous, rhinophyma

 

Micro: can be predominantly red (squamatized) or blue at low power

- atypia and mits common

- infiltrative border

- foamy cells c scalloped nuclei

- atypical cells can extend to epidermis or conjunctiva in a nested or buckshot pattern

 

IHC: (+) EMA (highlights individual vacuoles), CK7 (???), fXIII (in some clones)

 

- MC eyelid malignancy?

BCC

Endocrine mucin producing sweat gland carcinoma (EMPSGC)

 

Rare, low grade adenocarcinoma of sweat gland origin often arising on or near the eyelids of older women

- can recur if incompletely excised and may be precursor to mucinous carcinoma, however, no reported cases of mets

- key feature is neuroendocrine expression, elaboration of a myoepithelial layer by immunohistochemistry is helpful to confirm primary cutaneous origin

 

Micro:

nodular, often multilobulated dermal tumor with solid and cystic areas

- solid areas show cribriform architecture or pseudorosettes

 

 

DDx:

- must be distinguished from metastatic adenocarcinoma

- resembles mammary solid papillary carcinoma / endocrine ductal carcinoma with cystic and solid architecture

 

Pleomorphic Dermal Sarcoma (PDS)

 

- undifferentiated tumor of uncertain histogenesis, typically diagnosed by excluding other possibilities.

- lacks expression of epithelial, melanocytic, vascular, or muscle markers and is thought to represent a spectrum of the same entity as atypical fibroxanthoma. - commonly found in older individuals with chronic UV exposed skin, often associated with UV-dependent cutaneous epithelial malignancies like actinic keratosis and squamous cell carcinoma.

 

These lesions are often found on the scalp of elderly men and may be ulcerated.

 

IHC: (+) CD10 (strongly and diffusely expressed in both atypical fibroxanthoma (AFX) and PDS, and it may be the only positive stain

 

Micro: PDS invades the subcutaneous tissue and/or displays lymphovascular/perineural invasion and necrosis, features that distinguish it from AFX.

- Accordingly, PDS portends a higher risk of aggressive behavior than AFX.

 

Px: Distant metastasis and local recurrences have been reported, and the primary treatment is complete surgical resection. Depth of infiltration and completeness of excision are significant prognostic factors.

PDS

Melanocytic Lesions

General Rules for Melanocytic Tumors [from LASOP 1-21-2023)

 

Low power examination

•Symmetry; •Junctional component; •Dermal component; •Pigmentation; •Inflammation

 

Medium Power examination

•Circumscription; •Growth pattern; •Epidermis: nested vs. single cell;

•Dermis: regular nests vs. irregular nests or confluent

•Maturation: do the melanocytes get smaller deeper in the dermis?

 

•The best special stain is H&E

•Levels often helpful

•Do not sign out difficult cases when you are tired

•Friday afternoon rule

•Do not be a hero

•Show cases to colleagues

•Get consults when necessary

 

•Orientation important for accurate diagnosis

•Embedding is more important than cutting

•Beware of fixation artifacts

Ephelis (freckle)

 

B9 spot on skin exposed to solar rays in those of fair skin and red-heads

- inc risk for skin cancers

 

Micro: Melanocytes not inc in #; mildly hyperpigmented skin cells in basal layer c normal architecture

 

Genes: 2/2 variation in melanocortin-1-receptor gene

 

Lentigo Simplex

 

Micro: Linear inc in melanocytes at DEJ but no atypia

- bud-like processes from epidermis c "dirty feet"

Lentigo Simplex

Albinism

 

Pigmented skin disorder, recessive

 

Number of melanocytes is normal, but the production of melanin is dec bc tyrosinase activity dec

 

- may be caused by failure of neural crest cell migration during development

Vitiligo

 

Pigmented skin disorder w irregular areas of complete depigmentation due to a dec # of melanocytes

 

- assoc w pernicious anemia

 

*** Vere did the melanocytes GO? ***

Melasma

 

Pigmented skin disorder w hyperpigmentation usually assoc w pregnancy or OCP use

 

- the "mask of pregnancy"

 

- Wood's lamp can highlight the melanin excess in the epidermis

 

*** inc MELAnin ***

Junctional nevus

 

Small (<6 mm) symmetrical and well-circumscribed lesion

 

IHC: Melanocytes appear bland and proliferate in nests and as single cells at the elongated rete ridge tip

- Nests predominate over single cells in the basal layer

- melanophages and pigment incontinence in the papillary dermis

 

DDx:

- Junctional dysplastic nevus (poorly circumscribed at lateral borders and has nests at the base of the rete ridges)

- Junctional spitz nevus (hyperkeratosis, hypergranulosis and acanthosis, clefts bwt elongated nests and epidermis and large epithelioid melanocytes)

Junctional necus

Junctional nevus (red arrow to junctional [only in epidermis] nests

Junctional nevus

Compound nevus

Compound nevus with atypia

Commonly acquired Melanocytic nevi

 

Junctional nevi - flat macule

 

Intradermal nevus - papule with a little pigmentation

- gray cells clustered in nests

- melanocytes will not really be pigmented, usually gray, and can form giant cells (may look scary)

- for nevi in general, melanocytes get smaller the deeper you go into the dermis (maturation) which can look like it is trickling out into the dermis (do not confuse with invasion, as in lots of other lesions)

- melanocytes can have nuclear pseudo inclusion

- "congenital pattern" is that melanocytes surrounds structures like hair follicles, maybe bc the structures formed into the nevus

- melanocytes can be spindly deep down also

 

Compound nevus - a little bit of both

 

Maturation in a nevus:

Type A cells - superficially in dermis, epithelioid, square and large

 

Type B cells - smaller, less cytoplasm, round and no nucleoli (lymphocyte-like)

 

Type C cells - even smaller than B, spindled, elongated, minimum cytoplasm (neural-like)

 

Intradermal nevus

Melanocyte with nuclear pseudoinclusion

Maturation in a nevus - this is NOT invasion

A worrying Clark nevus with gray dots and polygons suggestive of lentiginous melanoma

A very typical presentation of a Clark nevus

Clark nevus- pattern of central globules fading at the periphery

Dysplastic (Clarks) Nevus

Compound melanocytic nevus with architectural disorder and shouldering (S), or extension of the junctional component beyond the dermal nests of melanocytes (D). Rete ridges are irregular and distorted with bridging (B) and eosinophilic fibrosis (arrows). Scattered lymphocytic infiltrate is often present (*).

Dysplastic nevus

 

Large, oval, multiple c irregular pigmented nests and single melanocytes

- central papule c surrounding macule that fades at border

- junctional part goes at least 3 rete pegs past the intradermal part

- end of retes show club-like hyperplasia

- no deep mits or deep pigment in nests

 

Low grade - atypical just at the periphery (shoulder region?)

- shoulder goes 0.2 cm beyond the edge of visible lesion

 

High grade - some parts c lots of cytologic atypia

- high-grade lesions can be treated like melanoma in situ

- high-grade lesions may recur and look atypical, but usually the same

 

Architecturally Disordered Nevus (ADN)

 

- aka dysplastic nevus, Clark nevus, atypical nevus

 

Should specify the degree of atypia (mild, moderate, severe)

- those with a severe degree of atypia are more likely to become melanomas

 

Histo: >5 cm, melanocytic rests at sides and tips of rete ridges, bridging c melanocytic hyperplasia, lamellar / concentric fibroplasia next to nests, no pagetoid involvement of overlying dermis, little halo change, mild to moderate atypia, macronucleoli in proliferating melanocytes, can have holes in melanocyte expression

- difficult to dx if <0.5 cm

- angulated, hyperchromatic atypical nuclei and bridging c nests and neighboring rete pegs and stromal response

- Shouldering: epidermal component extends beyond dermal

- inc numbers of single melanocytes

 

Lesion looks more malignant as pt ages and the lesion becomes darker

- may just be arbitrary distinctions between this and melanoma

 

Assoc w CDKN2A: encodes cyclin-dependent kinase inhibitor 2A, which regulates bwt G1/S by binding cyclin-dependent kinase CDK4

~ chr 9p21

 

Atypical Lentiginous Nevi

 

May closely resemble lentiginous melanoma

 

Tx: requires no further tx once excised (vs lentiginous melanoma which needs re-excision c 0.5 cm margins and follow up)

- differentiate them by degree of cytologic atypia and growth confluence

Balloon cell nevus

 

Nevus in which melanocytes large, pale with foamy or finely vacuolated cytoplasm, but no atypia

- balloon cells caused by progressive vacuolization and destruction of melanosomes

 

DDx: RCC (metastatic RCC would have rimming of delicate vessels)

 

Balloon cell nevus

Becker Nevus

 

Non-cancerous,large, well-demarcated, brown brithmark mostly in males, but also in females with breast hypoplasia and assoc c high localandrogen receptor expression

- can be present at birth but mostly starts at around puberty, usually occurs on shoulder or upper trunk

- often becomes darker and has hypertrichosis and acne can occur in the nevus

- 2/2 overgrowth of the epidermis, melanocytes and hair follicles

- cause is unknown

 

Micro: inc basal layer pigmentation, mild acanthosis, hyperkeratosis and elongation of rete ridges

- areas c sm muscle hamartoma have more pronounced sm muscle bundles irregularly dispersed in dermis and unrelated to either hair follicles or vascular channels

- does not actually have nevus cells

 

Tx: can get Ruby laser tx or hair removal

Becker nevus

Cellular blue nevus with dumbbell shape

Blue nevus

 

Made of type C melanocytes; blue 2/2 Tyndall effect; may come from a non-blue nevus

 

Gross: small blue-black macule on head and neck

 

Histo: Elongated, spindly (type C) melanocytes with lots o pigment and melanophages; red sclerotic stroma

- in the interstitium of thick dermal collagen of mid / upper dermis arranged in fascicles or in disarray

- few / rare deep mits, no necrosis, melanovytes dont mature

- "cellular" variant is more closely packed and has little pigment, nuclear enlargement; and is usually seen on the buttocks (

- can be a "malignant" blue nevus if lots of mits, nuclear atypia, or necrosis

 

IHC: (+) HMB45 (stains GP100 in melanosome)

 

Loss of BAP1 expression is assoc c melanoma arising from a blue nevus (aka "malignant blue nevus)

 

Congenital Melanocytic Nevi (CMN)

 

Evidence of whether congenital melanocytic proliferations are malignant is uncertain

- may have proliferative nodules, but those are not necessarily malignant

- should not dx as "CMN" bc you do not know if it was there at birth, unless you are looking at your own child's CMN...

 

CMN classified according to projected size into adulthood

- small and medium sized CMN have less than 1% risk of malig transformation

- larger lesions have up to 7.6%

 

Rarely do CMNs met, and thus the need to excise them is not necessary unless they cover a large portion of the bodies SA

- may grow other types of tumors, but this is very rare
- get hairs growing out of them bc spread along hair follicles

 

Px: atypical proliferative nodules arising from congenital nevi show whole chromosome gains or losses


CMN

Deep Penetrating Nevus (DPN)

 

- aka Seab nevus

 

May be related to CMN

Somewhat large (1-3 cm) variably pigmented plaques  (wedge-shaped c longest portion at DE junction) c fascicular arrays of spindle cells, epithelioid elements, dense pigmentation (sometimes), which goes deep

- lots of atypia, mits, necrosis may be a melanoma and not a DPN

Halo nevus

 

White ring surrounded a pigment papule

 

Band-like inflam that spreads through the lesion up to the epidermis, which disperses at the base of the lesion

- inflam pattern looks like a "Cocktail Party"... with lymphs and histiocytes hanging out together (in a melanoma, the lymphs act like riot police trying to hold back an angry mob)

- no deep mits or pigment in nests

A: Halo nevus clinical. The halo develops around a preexisting unremarkable compound nevus. B: Halo nevus. A dense infiltrative lymphocytic response blurs the silhouette of the lesional nevus cells in the dermis at scanning magnification. C: Halo nevus. Small lymphocytes are diffusely placed among the dermal nevus cells, which may appear swollen and slightly atypical (“reactive” atypia). Severe or uniform atypia or mitotic activity should suggest the possibility of melanoma. D: Halo nevus. At the periphery of the nevus, the halo is a region where pigment and melanocytes are reduced or absent, and there may be a subtle lymphocytic infiltrate at the dermal–epidermal junction, as here.

https://plasticsurgerykey.com/benign-pigmented-lesions-and-malignant-melanoma/#ic28t2

Nevocellular Nevus

 

Benign, common mole, aka birthmark

 

- if >100 present, known as dysplastic nevus syndrome

 

Spitz Nevus

 

Approach to Spitz Tumors [1]

•Looks like classic Spitz nevus in child: OK to call Spitz nevus

•Concerning features but not enough to call melanoma: AST

•Any Spitz tumors with atypical features or in adults:

•IHC: Consider p16, BRAF V600E, HMB-45, Ki-67/Melan-A DS, BAP1, PRAME

•If there are worrisome IHC findings, consider molecular testing

 

Occurs MC on face/scalp, trunk, or extremities in kiddos, up to young adults

- Grossly light red, papulo-nodular, symmetric, no "shoulder", and with distinct borders and small (<1 cm)

- named after Sophie Spitz, a pathologist, who described the histo features of this peculiar nevus in 1948. It presents in 2 forms: either a rapidly growing pink papule or nodule or a black papule or nodule in a young person, typically ages 2-12 yo. Out of that range, begin to suspect melanoma. Dermatoscopically it presents as dot vessels (pink form), clods peripheral, clods central, lines reticular plus clods, and black structureless. A Reed nevus is a variant of a Spitz nevus.

 

Micro: Symmetric, wedge-shaped, sharp borders (well-circumscribed), pseudoepithiomatous hyperplasia (PEH - acanthosis in adnexal epithelium that can look lilke SCC, sometimes traps elastic fibers), hyperkeratosis and hypergranulosis

- large fusiform / plump epithelioid cells c abundant pink cytoplasm that can look granular / hyaline

- nests DE junction that rain down ("bananas on tree")

- complex epidermal hyperplasia grasps the underlying melanocytic nests

- red nuclear inclusions (Kamino bodies) along BM are made of BM material

- acanthotic epidermis, artificial clefting

- rare mits that are not deep

 

Subtypes:

Junctional growth pattern c dense pigmentation, called a pigmented spindle cell nevus of Reed

- pigmented spindle cell nevus of Reed is a b9 melanocytic lesion MC in younger pts and has F predominance

-- usually seen on lower limbs (thigh), upper limbs, and trunk

-- on histo, can be junctional or compound, but it is always symmetrical and sharply demarcated

- junctional nests have characteristic pear-shaped config and are made of clusters of plump, spindled cells c elongated vesicular nuclei; and the lesions are heavily pigmented

 

Compound

 

Dermal

 

IHC: (+) S100A6 (diffuse)

- negative MIB-1 in melanocytic nuclei

 

p16

Spitz

•Diffusely positive

•40-80% of cells

•Positive at all levels

•Nuclei and cytoplasm

•Loss of p16 in Spitz tumor raises concern for spitzoid melanoma

 

Melanoma

•Variably positive

•0-40% of cells

•Less staining in dermis

•Cytoplasm

 

Ki-67

Spitz

•Low proliferative rate

•0-10%

•Zonal (upper portion of lesion)

 

Melanoma

•High proliferative rate

•5-40%

•Present at all levels

 

Caveats:

1.Overlap

2.Lymphocytes Ki-67 positive (best to do Melan-A/Ki-67 double stain)

3.Thin melanomas

 

HMB45 and BRAF V600E

HMB45

•Spitz nevi and atypical Spitz tumors show gradient

•Melanomas often diffusely positive

 

BRAF V600E

•~50-60% of melanomas positive

•Usually in intermittently sun-exposed skin (superficial spreading melanoma)

•True Spitz tumors never positive for BRAF V600E

 

Genes: 9p21 homozygous deletions have the highest risk to develop advanced local regional dz and even distant mets and death

- 6p25 or 11q13 gains have an intermediate risk c higher likelihood of an adverse event

- 6q23 loss or no copy number aberrations are the lowest risk

 

DDx: can be a "Spitzoid" melanoma, esp if seen in older pts (which are asymmetric, have deep mits, and nuclear atypia)

 

Spitz Nevus

Spitz nevus c Kamino bodies

Spitz nevus, shoulder

Spitz nevus

Pigmented spindle cell nevus or Reed

Spitz tumors [1] adapted from WHO

Atypical Spitzoid Lesion

 

•Traditionally wastebasket term for when you can’t decide (see criteria in the chart above)

•Other choices:

•Spitz tumor of uncertain malignant potential (STUMP)

•Atypical Spitz nevus

•Atypical spitzoid melanocytic proliferation

 

•Subjective

•Evolving term: Spitz melanocytoma (for Spitz tumors with more than one driver genetic event)

 

6 features to call atypical Spitzoid nevus:

>1 cm laterally

involvement of underlying subcuatneous adipose tissue

ulcerated

age >10 yo, <1 yo

mits (>6 mm^2)

 

Tx: Shoud consider re-excision

BAP-1 Inactivated Nevus

(Not truly a Spitz tumor)

 

Benign behavior

• Distinct histologic features

• Polypoid, mostly intradermal

• Sheets of epithelioid cells with

defined cell borders

• Numerous tumor infiltrating

lymphocytes

 

Patients with multiple: germline

mutation and increased risk of

cancer

• Uveal melanoma, mesothelioma,

cutaneous melanoma, renal cell

carcinoma, basal cell carcinoma,

hepatocellular carcinoma,

cholangiocarcinoma, meningioma

BAP1 inactivated nevus

Recurrent (Persistent) Nevus

 

aka pseudomelanoma

 

Melanocytic prolif that is poorly nested, confluent or irregularly nested with an underlying scar and melanocytic prolif just in that area above the scar

- can be ascary and look like melanoma

- epidermis looks flat

•Present as recurrent pigmented lesion or change in incompletely excised nevus

•Usually in setting of previous shave biopsy or trauma

•Original biopsy may show incomplete or apparently complete removal

•Trauma prone areas

•Lower legs; •Where clothes rub; •Face

 

Practical Tips

•Architecturally worrisome only over scar

•Bland nuclei (usually)

•Dermal component bland

•History/location

 

•Absence of history or benign nevus, be careful:

•Consider descriptive diagnosis of ‘atypical melanocytic proliferation over scar, see note’

•Note: In the appropriate clinical context this could represent a recurrent nevus, but a regressed melanocytic lesion or regressed melanoma could be considered.

Recurrent nevus

Nevi during “hormonal states”

 

•Common nevi in pregnant patients or teenagers may have some atypia and rare mitotic figures

•Still matures with descent

•Low power features resemble conventional nevus

Nevus during hormonal state

Nevi of “special sites”

 

•Scalp, especially hairline

•Ear/Scalp

•Intertriginous areas

•Genital skin

•Breast

•Ankles

•Acral skin

 

Common theme to special site nevi:

•Increased architectural disorder

•Odd placement of nests

•Less symmetry

•Some single cell growth pattern

•Some upward migration

•Increased cytologic atypia

 

Acral Nevus

•Clinical features

•Fairly common: ~5% of Caucasians

•Usually relatively small

 

•Microscopic features

•Symmetric

•Single cell growth pattern common

•Upward spread of melanocytes

•Tends to spare dermal papillae

•Rare atypical cells in junctional component

•Often poorly circumscribed

•Dermal component bland

•PRAME negative

•Differential diagnosis: acralmelanoma

 

Acral nevus vs. Acral melanoma [1]

Nevus

•Younger patients

•Small (<1 cm)

•No pleomorphism

•Nuclei less hyperchromatic

•Single cell pattern on rete tips

•Pagetoid spread more central

•Dermal component bland

 

Melanoma

•Older patients

•Larger (>1 cm)

•Pleomorphism

•Often angulated hyperchromatic nuclei

•Single cell pattern contiguous

•Pagetoid spread throughout

•Dermal component with atypia

Acral nevus

Atypical Genital Nevi

 

Clinical Features [1]

•Young women (mean age 20s)

•Can occur in children or older adults

•Vulva and anatomic milk line (breasts, axillae, periumbilical, groin)

•Average size 5-6 mm

•Approximately half clinically ‘atypical’

•Labia majora, mons pubis, labia minora, clitoris, perineum

 

Micro:

Relatively symmetric but with other worrisome features

•Lentiginous and nested junctional component, often with retraction spaces

•Epithelioid melanocytes in junctional component

•Pagetoid spread often present (~20%) but focal

•Atypia: mild (20%), moderate (64%), severe (20%)

•Dermal atypia (39%) but restricted to upper dermis

•Dermal mitotic figures (7%)

•Dermal fibrosis (41%)

•All lesions had maturation

•Large common dermal nevus component in almost half of cases

•Dermal atypia (39%) but restricted to upper dermis

•Dermal mitotic figures (7%)

•Dermal fibrosis (41%)

•All lesions had maturation

•Large common dermal nevus component in almost half of cases

 

Differential Dx: Vulvar Melanoma

 

Atypical Genital Nevus (AGN)

•Younger patients

•Symmetric

•Nested

•Pagetoid spread focal

•Maturation

•Marked atypia uncommon

•Absent to rare MFs

 

Vulvar melanoma

•Postmenopausal

•Asymmetric

•Single cell to irregular nests

•Pagetoid spread prominent

•No maturation

•Marked atypia common

•Dermal MFs

atypical genital nevus

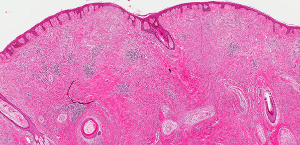
Melanoma in situ on Sun-damaged Skin (Lentigo maligna)

 

•Subtle on heavily sun damaged skin of head and neck (lentigo maligna type)

•Contiguous proliferation of melanocytes

•Focal nests

•Upward migration usually not prominent

•Atypia usually mild

 

No dermal nests + solar elastosis = LMM

 

Poorly nested and confluent melanocytes at DEJ

- loves hair follicles

- melanocytes MUST BE BACK TO BACK

 

Broad lesion on skin that may have solar keratosis c effaced rete pegs, junctional growth of strange melanocytes (singly and in confluent nests), MNGCs at DEJ, melanocytes not in nests > melanocytes in nests (pleomorphic, unevenly distributed nests), asymmetrical, no clear borders

- extends beyond clinical lesion

- commonly has skip lesions (not good for small bx's - broad shaves are best)

- grows along hair follicles / glands

 

Differential diagnosis

•Pigmented actinic keratosis

•Solar lentigo

 

Practical tips

•Any contiguous proliferation of melanocytes or nests worrisome for melanoma in situ

•Extension down follicles

•Junctional dysplastic nevi very rare in heavily sun-damaged skin of elderly patients

•Immunostains can help distinguish pigmented AK from MIS (red chromogen can be helpful)

•HMB45, S100, MiTF, SOX-10, PRAME (beware of pitfalls)

•Beware Melan-A in inflamed skin

Lentigo maligna

Melanoma

 

Incidence on the rise; ~10k deaths annually

- MCC death from cutaneous neoplasm

 

Common tumor w high risk of mets; may or may not be assoc c inc sun exposure

 

Dysplastic nevus (atypical mole) is a precursor lesion

 

*** ABCDEF: Asymetry, Borders irregular, Colors (multicolored), Diameter (larger [>0.6 cm]), Evolution / Enlargment (and Elevation), Fair skin people ***

 

Micro: asymmetric, large DEJ nests (>10 cells), pagetoid growth, atypia, mits deep in the tissue

- can also see inflam (lichenoid or chronic), pigment incontinence, cells c whispy brown cytoplasm

- lymphs act like riot police trying to hold back an angry mob (vs the Cocktail Party of a halo nevus)

 

Margin Assessment (from LASOP 1-21-23)

•Reactive melanocytic hyperplasia common

•Increased number of melanocytes ≠ positive margin

•Positive margin:

•Contiguous proliferation of melanocytes

•Nests

•Extension far down adnexal structures

•Pagetoidspread

•Melanocytic hyperplasia does not increase risk of local recurrence

•Do not overcall, especially on extremities or trunk

 

DDx: atypical lentiginous melanocytic proliferations, cellular proliferations in congenital nevi, cellular schwannoma, epithelioid histiocytoma, melanocyte prolif around dermal scars, neurothekoma, proliferating scars, "special site" nevi

 

IHC: (+) S100 (>99.7% [+]), PNL2, Melan-A, HMB45/50 (stains superficial and deep cells, vs nevi which stain only superficial cells), KBA62, MITF, vimentin, high Ki67

- 1% are (+) for pankeratins, GFAP, desmin, NFP

- many are also positive for a variety of CD's

 

- neg: CKs, CD10, actin, desmin

 

IHC should be used primarily to distinguish from non-melanocytic cancers, as these are variably positive (S100 may be most specific / sensitive for melanocytic proteins)

 

ISH may be used to detect cr abnormalities if dx uncertain; but ISH itself is not completely accurate

 

PRAME Immunohistochemistry [1]

•PReferentiallyexpressed Antigen in Melanoma

•Cancer testis antigen

•To be considered positive: >75% of tumor cells +

 

PRAME

Melanoma

•All melanoma subtypes: ~80% positive

•88-90% of superficial spreading, acral, nodular, and lentigo maligna melanomas

•75-94% of lentigo maligna melanoma in situ

•Positive in ~90% of metastatic melanoma

•35% of desmoplastic melanomas

 

Nevi

•86-96% of all nevus types PRAME negative

•When staining present, <50% of cells positive

•75% Spitz PRAME negative, but diffuse staining has been seen

•Nodal nevi PRAME negative

 

PRAME Caveats

•Not all melanomas are positive; some completely negative

•Nevi can be positive

•90% concordance of PRAME IHC and molecular methods (FISH, CGH)

•10% of the time it does not

•Difficult to interpret in cases between 50-75% positive

•Potentially not as good in Spitz tumors

•Weak staining hard to interpret

•Rare positive melanocytes in sun-damaged skin

•Sensitivity 75%, specificity 99%

 

Genes: •Genetic landscape complex

•Not driven by translocations or simple activating mutations alone

•Melanoma associated chromosomal aberrations

•Losses of chromosomes 6p, 8p, 9p and 10q

•Gains of 1q, 6p, 7, 8q, 17q, and 20q

 

Comparative genomic hybridization

•Not widely available

•Takes weeks

•Expensive

•May not be covered by insurance

•Requires relatively high percentage of tumor cells (30-50% of cells assayed)

•Not good for small amounts of tumor or heavily inflamed tumors

 

FISH limits

•Technically challenging

•Expensive equipment

•Still difficult in thin melanomas

•Limited availability

•Less accurate in ambiguous tumors

•~70%

•Sensitivity 70% in spitzoid melanomas

•Specificity ~80%

•Tetraploidy in Spitz tumors

 

GEP

•RNA extracted from FFPE tissue

•cDNA

•Quantitative PCR

•23 differentially expressed genes

•PCR

 

4-probe FISH assay targeting 6p25 (RREB1), Cep6 (centromere 6 / CEN6), and 11q13 (CCND1) can distinguish bwt n9 nevi and unequivocal melanoma c 87% sens and 95% spec

- recently found that probe including 6p25 (RREB1), 11q13 (CCND1), 9p21 (CDKN2A) and 8q24 (C-MYC) had even better accuracy c 94% sens and 98% spec

 

FISH vs. GEP

•Limitation: based on H&E “gold standard”

•Similar sensitivity and specificity

•At least with validation sets

•Advantages FISH:

•Can look at specific subpopulations

•Better for melanomas arising in nevi

•Better in spitzoid lesions

•Advantages GEP

•Less subjectivity (FISH algorithms are complex)

•No issue with tetraploidy

•May be better on thin lesions

 

•Advantages GEP

•Less subjectivity (FISH algorithms are complex)

•No issue with tetraploidy

•May be better on thin lesions

 

FISH and GEP

•Both have potential adjunct role

•Positive results helpful

•Negative/indeterminate results less useful

•Performance on histologically indeterminate lesions is somewhat limited, but may be better than immunohistochemistry

 

Next generation sequencing

•Advantages

•Can find fusions (Spitz tumors)

•Can find TERT promoter mutations

•Can look at many genes with one assay

•Tumor mutational burden (TMB)

•Disadvantages

•Does not always work on small specimens

•Limited availability

 

Tx: Wide-excision

- no benefit of LN dissection

- anti-PDI and CDL-1a?

 

Px: worse px assoc c: vertical growth, lots o mits, ulceration, vessel invasion, satellitosis, max tumor (Breslow) thickness

- can be staged c "Clark level" and "Breslow depth"

- counterintuitively, 75% of melanomas that appear to "regress" on the surface are metastatic (probably have just grown down into the skin and invade [like a falling drop of water...])

- for staging, depth based from base of ulcer or granular layer of epidermis

- inc Lactate Dehydrogenase assoc c worse px [1]

 

Satellite lesion defined as a nest of melanoma cells (at least 0.05 mm in diameter) separated from the main tumor mass by normal dermis, by a distance of at least 0.3 mm

 

Staging based on VGP (Vertical Growth Phase): tumors first grow superficially in a circle, and as they do so acquire gene abnormalities that allow them to invade (vertically)

- exception: thin tumors that go deep

Melanoma

Balloon cell melanoma

spijndle cell melanoma

Desmoplastic Malignant Melanoma (DMM)

 

•Approximately 4% of all melanomas

•Frequent cause of malpractice cases

•Present in 6thto 7thdecades

•Most commonly involve head and neck

•But can be seen anywhere

•More than half clinically amelanotic

•Potential for delayed diagnosis

•Clinically suspected in minority of cases

 

BE AFRAID!!! Doesn't look like typical melanoma grossly, but like a nodule on sun-exposed areas in the elderly

- is amelanotic, which is why may be confused c other derm probs (inclusion cyst, scar, DF, BCC, nevus)

- may arise from lentiginous melanoma

 

Histo:

•Hypocellularproliferation of hyperchromatic spindled cells

•Often have packetedarrangement

•Melanin pigment absent to sparse

•Prominent collagenous/desmoplastic stroma

•Perineuralinvasion in 1/3 of cases

•Admixed lymphocytic infiltrate

•Overlying junctional atypical melanocytic proliferation (40-90%)

•May have admixed conventional melanoma

 

spindly cells in sclerotic stroma (can be confused c NF) with variable nuclear features

- usually invades deep and far (esp if epithelioid [vs fusiform])

- lymphocytic aggregates helpful

 

DDx: cicatrix (are neater [arranged in parallel and horizontally]), hypopigmented / sclerosed blue nevus, PNSTs, sarcomatoid carcinoma, atypical fibroxanthoma

 

IHC: (+) S100, SOX10, WT1 (n)

- negative: HMB45, melan-A, tyrosinase, PNL2

-- scars from prior melano excision can also be (+) S100!!! SOX10 may be helpful with this differential (neg in scars)

- kind of goes back to neural crest origin, which is why it only expresses S100 and SOX10

 

Px:

•Higher rate of local recurrence (10-50%)

•Secondary to infiltrative growth pattern

•Neurotropism increases risk

•Lower rate of lymph node metastasis

•Overall survival better than conventional melanoma if strictly defined

 

*** SLAM - spindly dermal lesions abutting epidermis ***

Spindled SCC, Leiomyosarcoma, AFX, Melanoma

Desmoplastic melanoma

Lentiginous Melanoma

 

Proliferate of single and nested melanocytes within the basal layer (bridging?); more likely to be in situ (non-metastatic??)

- single displaced melanocytes seen in upper epidermis as the lesion progresses

 

2 Types: Can occur acrally (on the palms or soles; thus "acral-lentiginous melanomas") with surface keratinization or just as a simple "lentiginous melanoma" with atrophied epidermis with a good amt of solar damage

 

Nevoid Melanoma

 

aka "minimal-deviation" melanoma,

•Clinical features

•May be innocuous

•Verrucous to dome shaped

 

- look pretty boring on histo: symmetrical, well-circumscribed, don't move up too far past the DEJ, monomorphic cells (like a melanocytic or Spitz nevus)

- cells at base of lesion usually smaller, simulating (falsely) a maturation process

 - Subtype of lentiginous and nodular melanomas

Commonly in the LE of older women

 

Versus nevi, cells in nevoid melanomas are larger, grow in cords, have nucleoli in most cancerous cells, and with mits at the base

- need adequate excision bc these features impossible to tell from punch bx's or shaves

 

Microscopic features

•Resembles nevus on scanning magnification

•Small epithelioid melanocytes

•Subtle atypia

•Mitotic activity

•May have sheet-like growth and irregular dermal nests

 

Outcome [1]

•Recurrence rate 50%

•Metastasis 25-50%

•Mortality ≥ 25%

•Likely due to more advanced stage at presentation

•Practical tips

•Examine all nevi at least briefly at high power

•Beware of nevi with sheet-like growth pattern or irregular dermal nests

nevoid melanoma

Nodular Melanoma

 

Looks like a nodule of atypical melanocytes, and should not have cancerous melanocytes on >3 rete ridges outside (to the left and right) of invasive zone

Superficial Spreading (Pagetoid) Melanoma

 

MC microscopic subtype

Histo: Lots of atypical melanocytes that move up into the upper layers of the epidermis (and possibly invade downward as well)

** "Buckshot" pattern **

Acral Melanoma

 

•Clinical Features

•Older patients 7thand 8thdecades

•Rare <30 years of age

•Usually large (1-3 cm)

•Irregularly pigmented

•Foot > hand

•Most common form of melanoma in darker pigmented people

 

•Microscopic features

•Asymmetric

•May have skip areas

•Single cell growth pattern

•Irregular nests

•Pagetoidspread > than acralnevi

•Hyperchromatic nuclei with haloes

•PRAME positive

•Skip areas frequent

•Biopsies not always diagnostic (especially from lesion edge)

•Consider re-biopsy if clinically suspicious

Acral melanoma

Acral Lentiginous Melanoma

 

Micro: contiguous proliferation of lentiginous melanocytes with areas of confluent nesting

- rete ridges markedly elongated and pointyd

- melanocytes hyperchromatic and angulated

 

Acral Lentiginous Melanoma

Spitz Melanoma and Spitzoid Melanoma

 

Spitz Melanoma

•Reserved for Spitz-like tumors with additional (molecular) features of malignancy

•Needs background genetics of Spitz tumors (e.g. BRAFfusion)

 

Spitzoid melanoma

•Looks “Spitzy” (epithelioid morphology)

•Other features of conventional melanoma (e.g. BRAF V600E)

 

Kinase fusions are frequent in Spitz tumors and spitzoid melanomas

 

Kinase Fusions (~50%)

•Receptor tyrosine kinase translocations

•ROS1

•NTRK1

•ALK

•BRAF

•RET

•Wide range of partners

•Younger patients

•Mutually exclusive with themselves and HRAS

•Chimeric proteins maintain intact 3’ kinase domain

•All activate MAPK/ERK and PI3K/AKT/mTOR pathways

•All can be seen in other types of cancer thyroid, lung, glial

 

ALK fusions

•10-20% of Spitz nevi and AST have ALKfusion

•1% Spitz melanoma

•Clinical

•Large, polypoid

•Usually extremities of young patients

•Morphology

•Predominantly dermal tumors

•Fascicles of spindled melanocytes

•Wedge shaped to plexiform

•Mild to moderate atypia

•No Kamino bodies

 

NTRK1Fusions

•Most common in Spitz tumors (versus NTRK2and NTRK3)

•10.7% nevi, 25% AST, 21.2% spitzoid melanomas

•Slightly smaller cells on histology

•Mostly spindled

•Lobulaterosette-like nests

•Exaggerated maturation and TILs

•Strong staining for NTRK1 by IHC

•High sensitivity and specificity

•Weak background staining seen in some other melanocytic lesions without fusions

 

BRAF fusions

•5% of Spitz tumors

•Higher percentage of Spitz melanoma (up to 24%)

•Morphology

•Often have sheet like growth pattern

•Marked pleomorphism

•BRAF immunohistochemical stains do not stain these tumors

 

MAP3K8 Fusions

•Striking atypia

•Epithelioid morphology with moderate to severe cytologicatypia

•>50% ulcerated

•No to minimal maturation

•Focal hyperpigmenteddermal clones, giant multinucleated cells

•Deep dermal mitoses

•Dermal stromal reaction

•~50% called Spitzoidmelanoma; frequent p16 inactivation; +/-TERT mutations

•Genomics predict behavior (1 child died of disease thus far)

Spitz tumor

Spitz tumor with ALK fusion

Spitz tumor w NTRK1 fusion

MAP3K8 Fusions

Spitz tumor w BRAF fusion

Metastatic Melanoma

 

Tumors don't become metastatic until entering VGP in which multiple genes mutated and set to invade

- genes may predict where tumor likely to met to

 

~1/5 primary melanomas will have mets

- 2/3 of these have LN mtets at time of dx, rest (~6% of all primary melanomas) have visceral mets ab initio

 

Morphologic subtypes of metastatic melanomas: small cell, rhabdoid, signet ring, "balloon cell", myxoid, spindle cell / pleomorphic, rhabdoid

 

Tx for mets: Best option for most is resection

- chemo can improve survival a little, but rarely acheives complete remission

-- BRAF and MEK inhibitors may also cause SCC in skin and are expensive

 

Px: isolated pulmonary mets have strangely good survival; rest of mets are pretty poor

Idiopathic Guttate Hypomelanosis (IGH)

 

Common, acquired b9 condition in older women, sun-exposed areas

 

Micro: dec melanin pigment in basal layer of the epidermis and reduction in number of dopa-positive melanocytes

- epidermis usually has some atrophy c flattening of rete pegs

- can have basket-weave hyperkeratosis, or perhaps compact keratosis

IGH

References:

1. LASOP. meeting 1-21-23